<li id="qqqqq"><tt id="qqqqq"></tt></li>
<li id="qqqqq"><tt id="qqqqq"></tt></li>
<tt id="qqqqq"><table id="qqqqq"></table></tt>
<tt id="qqqqq"><table id="qqqqq"></table></tt><samp id="qqqqq"><tbody id="qqqqq"></tbody></samp>
  • <li id="qqqqq"></li>
    <li id="qqqqq"></li>
    <li id="qqqqq"></li>
  • <li id="qqqqq"></li><li id="qqqqq"><tt id="qqqqq"></tt></li>
  • 山東第一醫科大學附屬省立醫院成功為合并重度脊柱后凸側彎畸形的患者行子宮切除手術
    中國網 2025-11-19 15:40:01

    近日,山東第一醫科大學附屬省立醫院(山東省立醫院)婦科奧體院區二病區聯合麻醉與圍術期醫學科、重癥醫學科多學科協作,成功為一名罹患子宮內膜癌且合并嚴重脊柱后凸側彎畸形、先天性聾啞的68歲高齡患者,實施了高難度經腹子宮次全切術。目前患者恢復良好,已康復出院。

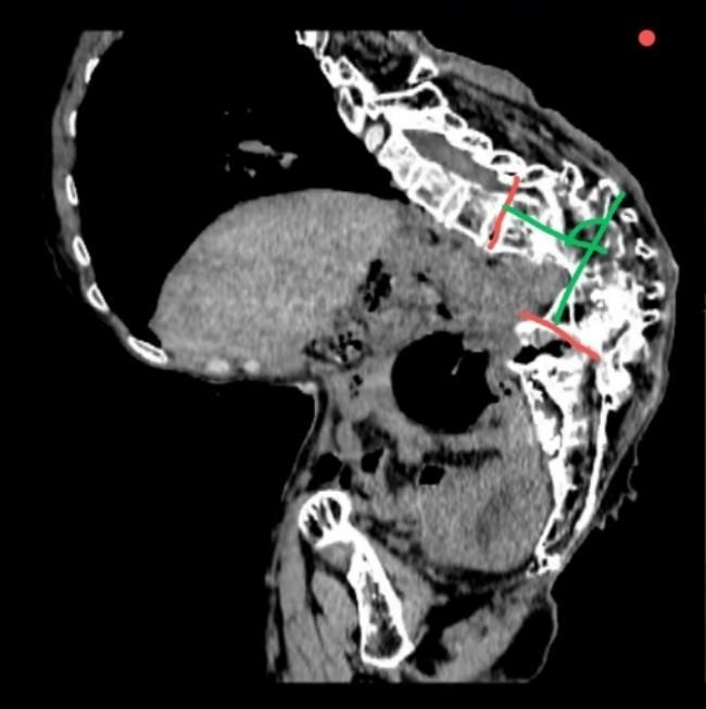
    患者因“絕經后陰道流血10天,診刮病理提示子宮內膜樣腺癌”入院。該患者其幼年曾患結核,導致嚴重脊柱后凸側彎(俗稱“羅鍋”),無法平臥,手術時僅能耐受接近坐位的特殊體位,這導致手術操作空間嚴重受限、暴露困難,術中極易損傷脊柱脊髓,術后拔管困難與低氧血癥風險高,加之患者先天性聾啞,醫患溝通存在障礙,手術難度與風險極高。

    針對患者的復雜病情,在婦科副主任兼奧體院區婦科主任劉鳴的指導下,副主任醫師耿鋒帶領團隊聯合麻醉與圍術期醫學科、重癥醫學科進行了多學科協作攻關,制定了詳盡的手術方案,就手術體位、手術路徑、切口選擇、手術范圍、術中突發狀況應急處理以及術后生命體征監測等環節均進行了充分討論與周密準備。子宮內膜癌的標準術式是筋膜外全子宮切除術+雙側附件切除術+前哨淋巴結活檢/系統性淋巴結清掃,鑒于該例患者手術體位擺放極其困難及盆腹腔內操作空間極為有限,團隊最終決定實施經腹子宮次全切術。手術由耿鋒副主任醫師主刀,主治醫師張碩、住院醫師曹燁擔任助手。在麻醉與圍術期醫學科副主任徐艷冰、副主任醫師楊淼、住院醫師晁慧玲的精準評估與麻醉下,巡回護士徐雯、許彩燕、李英英、李倩對手術體位恰當擺放,器械護士崔瑞言密切配合,手術團隊憑借豐富的臨床經驗和精湛的操作技巧,在極有限的空間內順利完成子宮次全切術?;颊咝g后轉入重癥醫學科,在重癥醫學科副主任醫師王啟志等醫護人員的嚴密監護下,患者順利拔除氣管插管,術后第1天轉回婦科病房。通過給予擴張支氣管、化痰等措施,患者克服了低氧血癥,術后恢復良好,已順利出院。

    此次復雜高?;颊叩某晒戎?,充分體現了醫院在多學科協作診療模式和精準圍術期管理方面的深厚實力,也為處理同類復雜合并癥婦科腫瘤病例積累了寶貴經驗。(來源:山東第一醫科大學附屬省立醫院)

    中國網客戶端

    國家重點新聞網站,9語種權威發布

    91麻豆精品视频